Hoje, nós vamos tratar de um assunto muito importante, turminha, que é o assunto contenções e estabilidade.
Eu vou contar uma grande verdade para vocês. É muito chato quando a gente tem recidiva no consultório. É muito chato.

A gente precisa ter estabilidade nos nossos casos. Há muitos anos atrás, quando eu tive a primeira recidiva, eu olhava para o paciente e pensava: será que eu fui incompetente?
Então, vocês sabem que a ortodontia é um casamento sem divórcio. O que significa?
Se o paciente tem qualquer problema depois do seu tratamento, pode ser um ano, dois anos, três anos depois, ele vai ter a sensação de que aquele problema foi você que causou.
Então, a gente tem que ficar muito esperto com isso. A gente precisa ter estabilidade, até porque nós precisamos preservar o nosso nome.

A contenção, a gente precisa conversar sobre isso e planejar essas contenções no início do tratamento, junto com o planejamento ortodôntico.
O diagnóstico dessa paciente aqui é uma paciente dólico-facial. Ela tem um sorriso gengivoso que não tem conserto sem cirurgia ortognática.

Hélio, como é que você sabe que esse sorriso gengivoso não tem conserto sem a cirurgia ortognática?
Eu sei que não dá para consertar, justamente porque ela nem tem uma mordida profunda que me permite intruir os incisivos superiores.
Se eu pudesse intruir os incisivos superiores, provavelmente eu ia melhorar esse sorriso gengivoso.
Mas ela não tem mordida profunda.
Então, eu já vou dizer para essa paciente o seguinte:
olha, eu vou melhorar muito o seu sorriso, mas eu não consigo corrigir o sorriso gengivoso. Ponto.
A não ser que você queira fazer uma cirurgia ortognática.
E, nesse momento, como não era uma coisa que incomodava demais ela, ela falou assim:
não, não, vamos deixar isso para uma próxima, tá tudo bem.
Então, a paciente dólico, você pode observar na face dela, ela não tem grandes assimetrias.

E aqui, no caso dela, quando nós olhamos a linha vertical subnasal, nós observamos que o lábio superior, ele está mais ou menos dois milímetros à frente da linha.
Está dentro da normalidade.
O lábio inferior está de zero, ele pode ir até três.
Está dentro da normalidade.
O mento está um pouquinho para trás, mas eu não posso dizer que, no sentido sagital, nós temos aqui um problema esquelético. Nós não temos.
Nós poderíamos dizer que é um problema esquelético ou tem um fator esquelético envolvido quando a gente olha o sorriso.

Então, essa nossa paciente, ela tem todo esse apinhamento.
Vocês estão vendo que ela está de classe 1, do lado direito e do lado esquerdo?
Quando você tem uma paciente de classe 1 dos dois lados e você tem bastante apinhamento, você pode até pensar em tirar pré-molares.
E se eu tenho uma classe 1 de molares, obrigatoriamente, se eu penso em tirar pré-molares, eu teria que pensar em tirar quatro pré-molares.
E isso aqui eu só consegui enxergar, pessoal, depois que eu comecei a estudar a ortopedia funcional.

É claro que aqui, nesse caso, que nós temos apinhamento, paciente adulto, eu não vou usar a ortopedia, eu vou usar outras ferramentas;
porém, eu vou utilizar o conceito da ortopedia.
Imagina que é um expansor:

Esse expansor aqui, ele faz uma força nos pré e também nos pré do outro lado:

Então, esse verdinho que você está vendo aqui, ele vai fazer esse tipo de movimento:

Esses pré vão expandir desse jeito que você acabou de ver. Muito mais na região dos pré do que dos molares, tá?
Vai acontecer uma expansão nessa região.
E na ortopedia, a gente também coloca um negócio chamado mola frontal. Ela encosta no lateral e ela leva esse lateralzinho para vestibular:

Eu posso muito bem pegar o diagrama ortodôntico do meu paciente e fazer com que esse diagrama fique mais ou menos com esse formato:

Professor, mas eu posso fazer esse formato de arco no meu paciente que parece um formato de arco um pouco mais quadrado, expansivo, só no fio, assim, só no formato do fio?
Claro que você pode, desde que o corredor bucal da paciente permita um pouco de expansão na região dos prés.

Ah, então quer dizer que aqui eu não precisaria nem de quadriélice, nem de disjuntor, nem de expansor. Eu conseguiria fazer tudo isso com o formato do fio?
Aham!
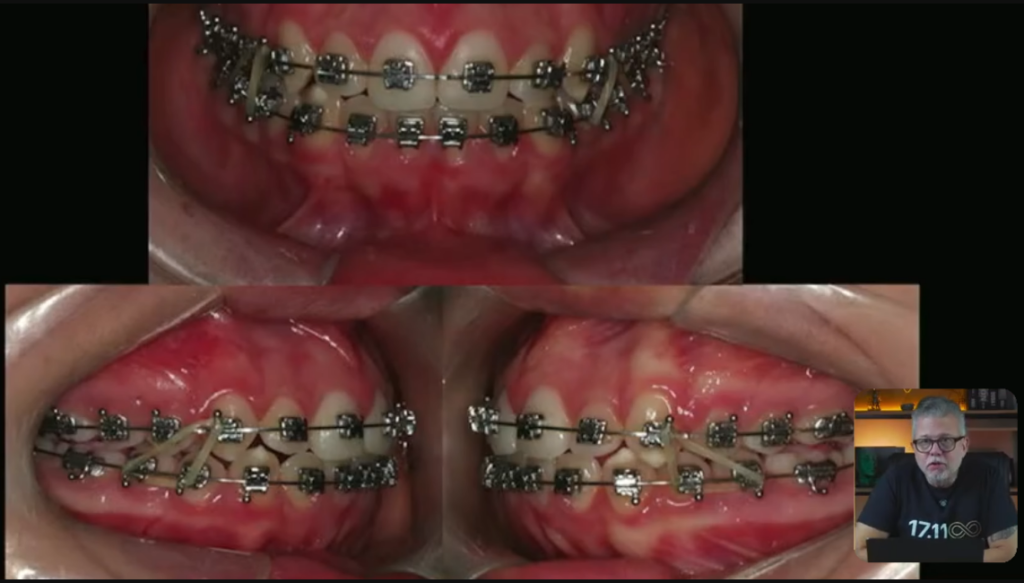
Depois da nossa disjunção:

E aqui a gente utilizou esse bracket:

11 consultas, estava tudo alinhado e nivelado, tiramos o aparelho:

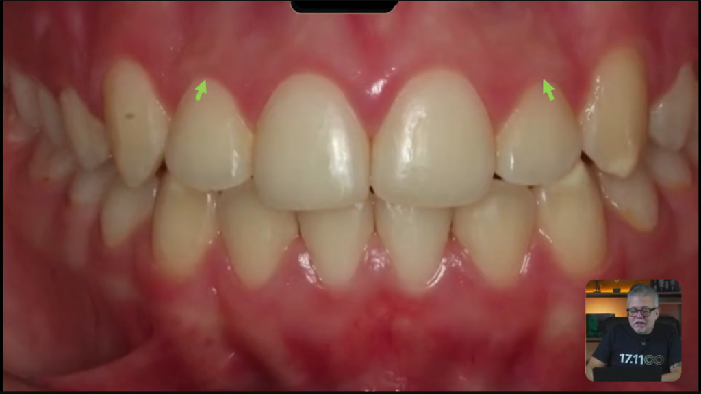
Professor, ficou bom?
Razoável.
Teve alguns detalhes aqui que poderia ter melhorado?
Sim, tem detalhes que poderia ter melhorado aqui.
Alguns detalhes como, vejam que parece que tem um espaço escurecido aqui no incisivo lateral:

Por que ficou assim, professor?
Anatomia do dente.
Hélio, o que mais que tem de problema?
Olha o zênite desse lateral e olha desse lateral aqui:

Vocês estão vendo esse canino aqui, que tem um espacinho aqui atrás:

Quando esse paciente pega essa mandíbula dele, os dentes inferiores, e ele faz o movimento de lateralidade, esse canino inferior, pessoal, ele não toca imediatamente no canino superior.
Então, não faz a desoclusão imediata.

Todo caso que você terminar tem que fazer a desoclusão imediata, porque senão os dentes posteriores vão ficar com um contato ou então um movimento no sentido látero-lateral.

E aí, quando você termina um tratamento como esse aqui, você vai lá e coloca uma contenção.
Esses dentes que vocês estão vendo aqui, super alinhados, então eu coloco essa contenção fixa superior em todos os meus pacientes:

Vocês estão percebendo que é uma contenção higiênica colocada nos dentes superiores, que não vai causar esse problema. Engraçado, né?
Porque colocam tanta culpa na contenção higiênica, que ela causa retração de gengival.
Mas eu nunca vi uma contenção higiênica causar esse problema nos dentes superiores.
Olha, isso foi só um corte.
A aula completa, com todos os detalhes, estratégias e aplicação clínica, vai estar disponível na Ortovenance Academy, a escola mais completa do Brasil para dentistas que querem se destacar de verdade.
Lá dentro, tem tudo o que você precisa: ortodontia, ortopedia funcional dos maxilares, gestão, marketing, vendas, captação de pacientes e uma comunidade que caminha junto com você.
E é só clicar no link: https://www.heliovenancio.com.br/pv-oa-p/
Vai lá, conheça por dentro a Ortovenance Academy e se fizer sentido para você, eu te espero lá do outro lado.
Até breve.
