Fala turminha! Hoje a nossa aula é sobre torques.
Na verdade eu vou dar uma aula aqui para vocês, para a gente simplificar essa história de torques, meu objetivo fundamental dessa aula de hoje é fazer com que você elimine 90% da necessidade dos torques.
Muito importante: devemos fazer todos os nossos tratamentos respeitando as inclinações dos dentes anteriores, ideal seria que nós conseguíssemos terminar os nossos tratamentos com as inclinações dos dentes anteriores bem próximas do ideal.

Óbvio que os tratamentos eles têm como prioridade também a face do nosso paciente.
O que que é uma inclinação professor, próximo do ideal?
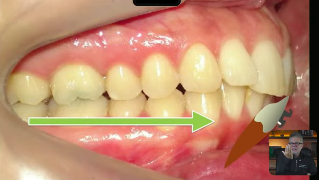
Todo mundo aqui consegue ver bonitinho que os incisivos tanto superiores quanto inferiores, eles estão inclinados para vestibular:

Minha paciente nesse caso não consegue nem fechar a boca direitinho aqui, vocês estão conseguindo ver isso?

Então nós estamos diante de uma paciente biprotrusa com incisivos inclinados para vestibular
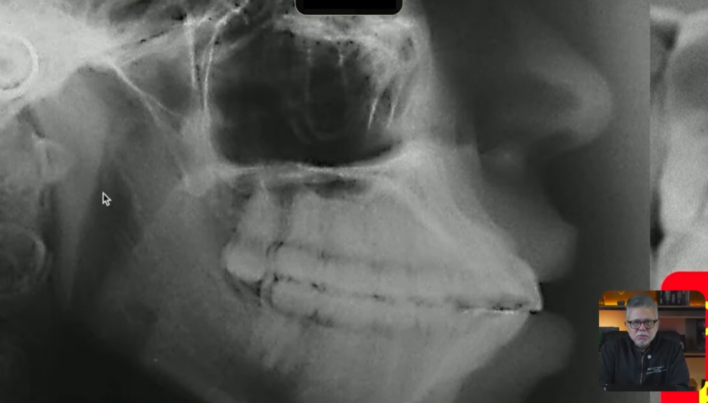
E aqui eu tiro a prova dos 9, eu tenho certeza absoluta que esse incisivo está vestibularizado porque eu tracei o longo eixo dele, ele passou muito atrás dessa órbita:

E eu também consigo traçar o meu incisivo inferior, medindo ele com a base mandibular:

Quando eu faço essa medida do incisivo inferior com a base mandibular, qual a minha intenção?
Eu quero saber também se esse incisivo inferior está mais ou menos com 90 graus em relação à base mandibular, nesse caso aqui eu tenho os incisivos bem vestibularizados.
Eu gostaria muito que tanto o superior quanto o inferior estivessem com uma inclinação dentro da normalidade

Para eu conseguir isso aqui nessa paciente dessa telerradiografia, obrigatoriamente eu tenho que fazer 4 extrações nessa paciente que eu mostrei para vocês.
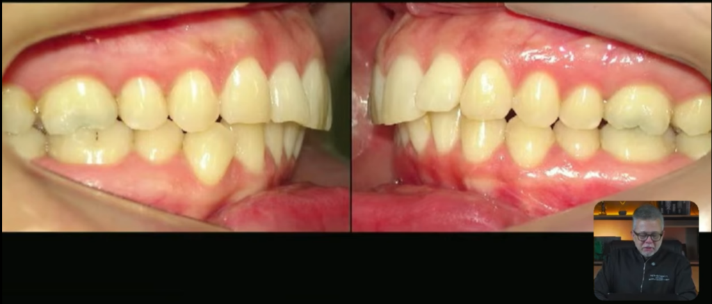
Essas fotos aqui são o antes e o depois, então aqui nós tínhamos a paciente biprotrusa e depois das 4 extrações ela ficou com os incisivos bem posicionados:

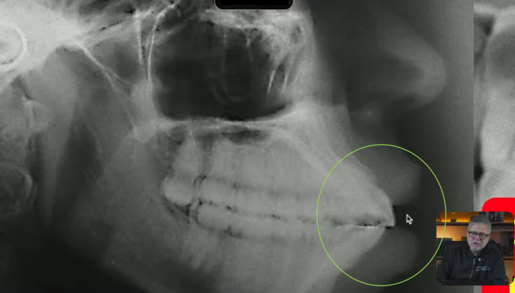
Vejam a mudança que aconteceu
Se vocês observarem, aqui o longo eixo do incisivo, aqui o longo eixo do incisivo agora está tangenciando a órbita, e aqui o longo eixo do incisivo inferior está mais ou menos com 90 graus com a base da mandíbula:

Ah beleza, mas a aula não ia ser de torque?
Sim.
Porque agora eu quero te mostrar na vida real o que vai acontecer aqui:

Veja só,
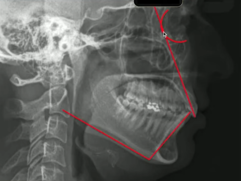
vamos imaginar que eu vou fazer o tratamento da classe 2, e essa paciente ela tem uma classe 2 unilateral:


Quando eu vou fazer o tratamento dessa classe 2, eles estão em uma posição ideal, eles estão bem posicionados, o superior ele está quase tangenciando a órbita, o incisivo superior está levemente lingualizado:

Esse inferior está quase bem posicionado,
só que deu para observar que tanto o superior quanto o inferior, o superior está levemente lingualizado e o inferior está levemente vestibularizado:

Quando é que isso acontece pessoal?
Isso acontece quando nós temos uma deficiência de mandíbula ou um excesso de maxila, sabe por quê?
Porque quando a mandíbula é pequena e a maxila é maior um pouco, os dentes tentam compensar essa pequena deficiência no esqueleto, mas dá para consertar isso?
Dá para melhorar isso?
Se dá para melhorar, eu poderia dizer que um pouquinho, porque quando existe um problema esquelético a gente não consegue melhorar 100%.
Mas todas as vezes que eu for tratar um paciente, eu tenho que obedecer a regra de manter os torques dos incisivos bem próximos do ideal.

Agora eu quero fazer uma simulação com vocês aqui:
Eu vou pegar essa boca, que vocês estão percebendo que nós temos uma classe 2, e nós vamos tratar essa boquinha aqui com elástico:

E essa imagem dessa classe 2, quando eu utilizo um elástico de classe 2, os dentes inferiores, eles vestibularizam, o inferior sempre mesializa mais do que o superior distaliza,
pode acontecer uma lingualização dos incisivos superiores, isso é uma das coisas que acontece:

Só que quando eu olho para essa teleradiografia, eu posso deixar isso acontecer?

Eu tenho certeza agora que vocês vão falar assim, não professor, não pode, por quê?
Porque os incisivos superiores já estão lingualizados, se você retrair os incisivos, eles vão lingualizar mais ainda, você pode até retrair, mas você não pode deixar lingualizar.
Então nós teríamos que fazer aqui um negócio chamado torque vestibular
Porém eu quero parar de fazer o torque no fio, eu não estou a fim mais de ficar fazendo torque nos fios do meu aparelho,
posso utilizar um bracket que já tenha um torque ou uma prescrição que faça nesse incisivo um torque resistente automático:

Eu olho para esse bracket e penso assim, esse bracket agora da prescrição do tio Hélio tem 21 graus de torque, eu tenho que excluir 10 graus de folga, então vai sobrar o que?
11 graus.
Torque de 21 não vai fazer o meu incisivo ficar muito inclinado para vestibular?
Não, porque eu vou te contar agora qual é o grande pulo do gato:
Se eu coloco 19×25 e eu de repente percebo que está acontecendo uma inclinação vestibular maior do que eu desejo, ao invés de permanecer com 19×25, então eu posso deixar o 17×25 agir
Dessa maneira eu estou controlando a quantidade de leitura de torque pela espessura do fio, essa é uma vantagem.
O efeito colateral que acontece nos incisivos inferiores, quando a gente utiliza o elástico de classe 2, é um efeito de vestibularização no incisivo inferior:

Então a gente vê demais o paciente inclinando o incisivo para vestibular, como que eu faço para não inclinar esse incisivo para vestibular pessoal?
Eu vou utilizar um torque resistente lingual nesse incisivo, que pode ser um torque resistente lingual feito pelo próprio bracket

Só que aqui agora eu já tenho que falar de novo da quantidade de torque aqui no incisivo, por que eu sempre coloquei, por que vocês estão percebendo que eu coloquei na minha prescrição um pouco mais de torque do que o normal?

Justamente para vocês poderem controlar o torque na espessura do fio, aquela história do fio de níquel titânio ser um fio que vestibulariza, não significa que só por ele ser de níquel titânio, ele é um fio que vai vestibularizar.

O fio de níquel titânio no apinhamento, ele vestibulariza os dentes anteriores, justamente porque tem o apinhamento, e para os dentes desapinharem, eles precisam ganhar espaço, e eles ganham espaço para onde?
Para vestibular.
“Não professor, mas eu já ouvi falar outra coisa, eu já ouvi falar que inclusive o fio de níquel titânio vestibulariza até os dentes posteriores”
Todo fio que tem um formato expansivo vai vestibularizar os dentes.
Olha, isso foi só um corte.
A aula completa, com todos os detalhes, estratégias e aplicação clínica, vai estar disponível na Ortovenance Academy, a escola mais completa do Brasil para dentistas que querem se destacar de verdade.
Lá dentro, tem tudo o que você precisa: ortodontia, ortopedia funcional dos maxilares, gestão, marketing, vendas, captação de pacientes e uma comunidade que caminha junto com você.
E é só clicar no link: https://www.heliovenancio.com.br/pv-oa-p/
Vai lá, conheça por dentro a Ortovenance Academy e se fizer sentido para você, eu te espero lá do outro lado.
Até breve.